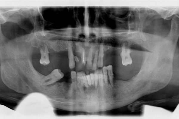
Anche in casi estremamente complessi, la riabilitazione Implanto-protresica , se ben pianificata, può dare dei risultati soddisfacenti, sia dal punto di vista estetico che funzionale.Scopri di più