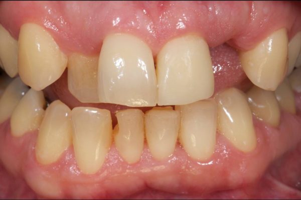
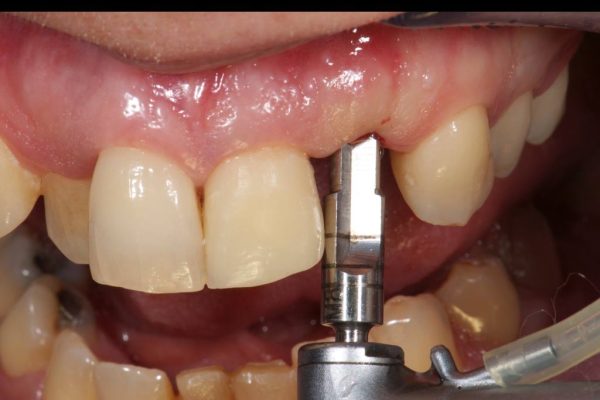
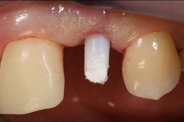
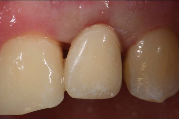
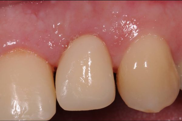
Le proprietà biologiche dei tessuti orali sono incredibili e ci permettono di poter ottenere dei meravigliosi risultati che fanno di questa professione la chiave di volta per renderci entusiasti ogni giorno che apriamo la porta del nostro studio …












© 2026 Studio Luigi Massimo Sacco. - P.IVA 08853080581 - Credits